【人医特色技术】复发率超50%,让人丧失喉部功能的癌症,有了新解法!
2025-10-24 20:56:36 来源: 第1眼TV-华龙网
开栏语:这里有一群医学探索者,他们以匠心雕琢医术,以仁心守护生命,在精准诊疗与微创技术的突破中铺就一条通往健康的精进之路。重庆市人民医院(重庆大学附属人民医院)作为重庆市首批“国家三级甲等医院”、重庆唯一的国家中西医协同“旗舰”医院试点项目建设单位,现携手第1眼TV-华龙网推出【人医特色技术】专栏,聚焦医院各专科前沿技术与创新实践。让我们共同走进这一项项技术背后的故事,见证医学的温度,感知技术的力量。
“喉咙里总像卡了东西,吞饭都费劲,一开始以为是老咽炎,没想到拖成了癌症,还说可能要把喉咙切掉……”69岁的陈某(化名)想起确诊时的场景,仍心有余悸。
下咽癌,这个藏在咽喉深处的“隐形杀手”,不仅有着超50%的复发率,传统治疗中“大刀阔斧”的手术还常导致患者丧失说话、吞咽功能,让无数患者陷入“保命还是保生活质量”的两难。

从“颈部肿块”到“晚期癌”,69岁老人的绝境重生
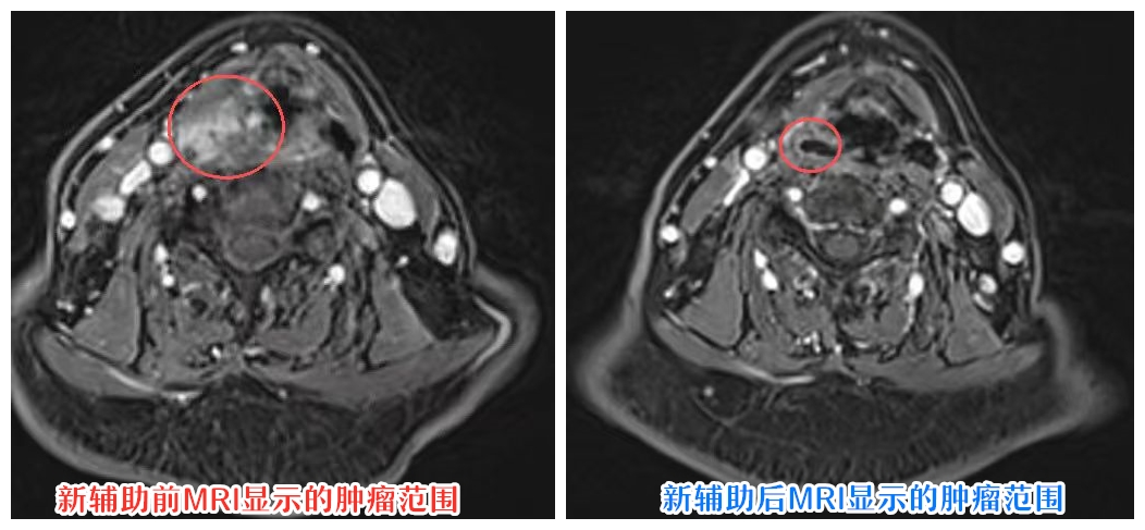
半年前,陈某发现自己右侧颈部鼓出一个鸽子蛋大小的肿块,不痛不痒,他没当回事,只在社区医院开了些消炎膏涂抹。可肿块没消,反而越来越大,还添了新毛病:吃饭时吞咽梗阻感明显,说话也变得嘶哑,甚至连喝水都觉得费劲。
“拖到连粥都咽不下,才意识到不对劲。”陈某的儿子带着他跑了几家医院,穿刺结果让全家陷入绝望……下咽鳞状细胞癌,且癌细胞已转移到颈部淋巴结,属于局部晚期。更让陈某崩溃的是,医生告知,传统治疗要么先做全喉切除手术,丧失喉的发音功能;要么先放化疗,可复发风险高,一旦复发,再治疗的难度会翻倍。

“我都69岁了,要是不能正常说话和交流,活着还有啥意思?”陈某一度想放弃治疗。转机出现在他来到重庆市人民医院耳鼻咽喉头颈外科后。副主任李忠万带领团队仔细分析了他的情况:年龄大、身体耐受度有限,且强烈希望保留喉功能。“不能用传统‘单兵作战’的思路,得为他量身定制方案。”李忠万说。

团队决定先采用新辅助化疗,让肿瘤“缩水”。两个周期后,陈某下咽及颈部的肿块明显变小,吞咽也顺畅了些。随后,医生通过精准定位,对缩小后的肿瘤进行完整切除,成功保住了喉,而非全喉切除。术后复查时,陈某不仅肿瘤病灶清除干净,还能清晰地和医生交流:“没想到我还能正常说话,太感谢李主任团队所有医护人员了!”
“三位一体”综合治疗,从“一刀切”到“精准狙击”
“过去治疗局部晚期头颈鳞癌,要么是外科医生先手术,再让患者去做放化疗;要么是先放化疗,效果不好再回头手术,像‘各管一段’的单兵作战,很难兼顾控瘤和保功能。”副主任李忠万解释,这也是传统治疗复发率高、患者生活质量差的核心原因。
如今,重庆市人民医院耳鼻咽喉头颈外科创新建立的“局部晚期头颈鳞癌综合治疗技术”,改变了这一局面。该技术以多学科协作(MDT)为基石,将放疗、化疗、手术“三位一体”深度融合,形成“一体化作战”模式:以手术实现肿瘤根治的核心,先通过新辅助化疗,让原本“庞大”的肿瘤显著缩小,实现“肿瘤降级”;再根据肿瘤缩小后的范围,采用精准的局部切除手术,避免过度损伤;最后结合精准放疗巩固疗效,降低复发风险。

“我们的目标很明确:不仅要让患者活下去,还要让他们有质量地活下去。”
李忠万主任的话,道出了技术创新的核心!以患者为中心,在根治肿瘤和保障生活质量间找到最佳平衡,实现患者受益最大化。
从“单一病种”到“体系破局”,一项技术背后的学科集群优势
“局部晚期头颈鳞癌综合治疗技术,其价值远不止于攻克某一种癌症。”重庆市人民医院耳鼻咽喉头颈外科副主任李忠万指出,“它是一套可复制、可推广的治疗体系,代表了我科在处理复杂头颈肿瘤领域的整体实力进阶。”

这套以多学科协作(MDT)为引擎的“三位一体”模式,其真正优势在于它的普适性与适应性。
它并非只为下咽癌患者设计,而是为整个局部晚期头颈鳞癌族群——包括口咽癌、喉癌、口腔癌等——提供了一个全新的“保命且保功能”的选择。当大多数患者面临“根治”与“生活质量”的残酷抉择时,这项技术通过新辅助化疗、精准手术与放疗的有机序贯与组合,实现了治疗理念的升级:从“以病灶为中心”的切除,转向“以患者为中心”的全程管理。
技术的广度,印证的是学科的厚度。
能够成熟开展此项技术,背后是耳鼻咽喉头颈外科作为国家临床重点专科建设项目的综合支撑:一支既能驾驭高难度外科手术,又精通肿瘤综合治疗方案的专家团队。

>>科室简介
耳鼻咽喉头颈外科前身为重庆中央医院在市中区学田湾开设的门诊部五官科,1961年独立建科,2003年医院挂牌重庆市眼耳鼻咽喉科医院,科室是国家临床重点专科建设项目、重庆市耳鼻咽喉疾病临床医学研究中心,设有耳、鼻、咽喉、头颈4个亚专科和睡眠心理特色诊疗。拥有一支临床经验丰富、专业能力强的骨干队伍,以及西南地区独立的耳鼻咽喉头颈外科解剖培训中心和基础实验室,面向全国开放培训,培养了大批耳鼻喉专科人才。
科室获批中国医师协会鼻内镜培训中心和咽喉内镜培训中心、国家耳鼻咽喉疾病临床医学研究中心核心合作单位、重庆市临床重点专科建设项目(精品项目)、重庆市中青年医学卓越团队、重庆市首席专家工作室、重庆市残疾儿童康复救助人工耳蜗植入手术定点医院,是重庆市残联系统康复专业技术人员市级规范化培训基地、重庆市助听器验配师实训基地和嗓音保健与防治科普基地,是中华医学会、中西医结合学会耳鼻咽喉头颈外科全国委员单位,全国五一巾帼标兵岗及重庆市卫生健康系统示范党支部。在院本部和中山院区设有病房和门诊,开放床位175张。
科室拥有西南地区独立的专科解剖培训基地,设有设施完善的听功能检测室、眩晕检测中心、耳聋耳鸣治疗室、鼻内镜检查室、鼻阻力及嗅觉功能检查室、电子鼻咽喉镜检查室、动态喉镜检查室、窄带成像内镜检查室、嗓音功能检查室、喉肌电图检查室、发音矫治训练室、多导睡眠监测及便携式睡眠监测仪等。配备专科手术室和专科药房,配备全高清内镜、显微镜手术摄像系统、影像导航系统、耳科鼻科高速电钻以及等离子能量平台等设备,可满足专科各种检查与手术需要,可开展锁骨以上、颅底以下范围内各个部位炎症、外伤、肿瘤、畸形矫正等手术。
>>技术负责人

李忠万
科室副主任
主任医师硕导
头颈外科学带头人
门诊时间:院本部星期一上午;中山院区星期三上午
专业擅长:主要研究方向是头颈肿瘤的诊断及治疗,尤其擅长喉癌、下咽癌手术切除及功能保全术,无充气腔镜下甲状腺、腮腺、颌下腺良恶性肿瘤微创切除术,局部晚期甲状腺肿瘤切除及功能重建术,口腔颌面肿瘤切除及功能重建术,游离空肠代替颈段食管术,3D打印技术辅助颌骨缺损精确重建术,鼻内镜鼻颅底肿瘤切除及复发鼻咽癌挽救手术,不同入路颈胸交界处肿瘤切除术,游离、带蒂多种肌皮瓣进行术后缺损的修补及功能重建等一系列高难度手术。
(文/吴瑞雪 图/科室供图)
责任编辑:吴瑞雪




发言请遵守新闻跟帖服务协议

