“没出华岩镇就把手术做了!” 重庆西区医院成功实施高难度心脏手术
2026-03-19 21:08:40 来源: 第1眼TV-华龙网
“没出华岩镇,就把心脏手术做了!”患者家属朴实的话语,道出发自内心的欣慰与感激。近日,重庆西区医院心脏血管疾病中心团队,成功为一名重度心脏瓣膜病、身体虚弱无法耐受开胸的患者,实施高难度经导管主动脉瓣置换术(TAVI),以微创技术为患者重启“心”生。
走不动、吃不下,暴瘦24斤
“走两步就喘,上梯坎就累,气都喘不上来。”患者李先生回忆说。不仅如此,李先生还咳嗽、咳白痰,最折磨人的是完全吃不下东西,吃什么吐什么。“过年的时候,满桌子鸡鸭鱼肉,都是我平时最爱吃的,可我连筷子都不想动。”
短短几个月,李先生体重从138斤骤降到114斤。“最开始以为是牙痛、脸肿引起的,结果人越来越虚。”听邻居说西区医院心脏中心是原军医大专家团队,他抱着试一试的心态,找到了西区医院心血管内科主任迟路湘教授。

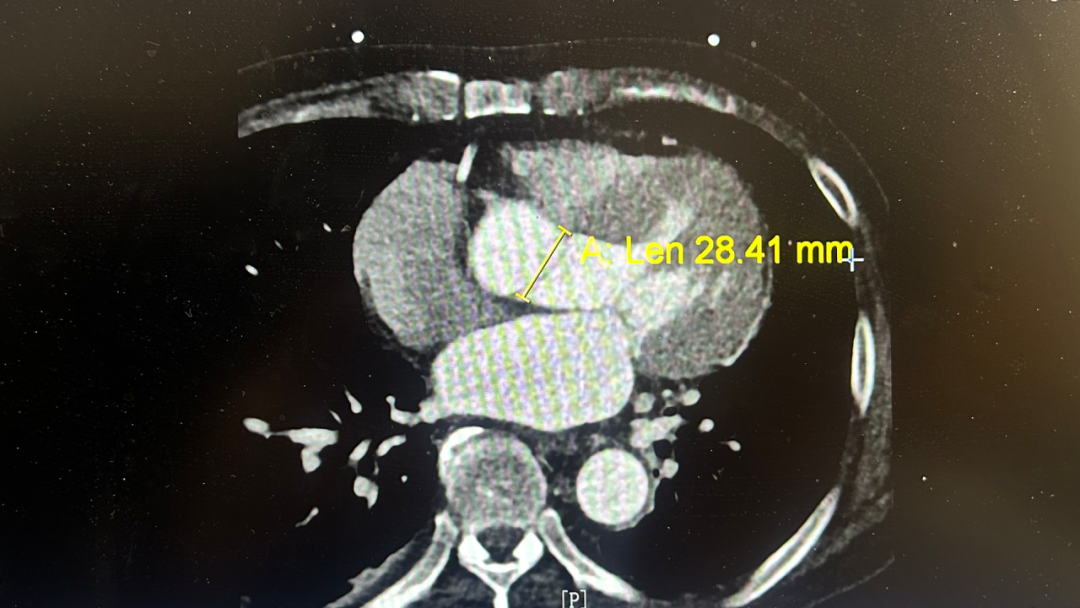
主动脉瓣环直径达28.41mm
经迟路湘教授详细问诊及心脏彩超检查发现,李叔叔的情况远比想象的复杂:先天性主动脉瓣二叶瓣畸形,不仅存在中度狭窄,还合并重度关闭不全,同时伴有升主动脉瘤样扩张。
“这个瓣膜既打不开又关不拢,心脏泵血时要费很大力气挤出去,刚一出去又倒流回来一部分。”迟路湘教授解释,长期这样超负荷工作,心脏已出现左室增大、室壁增厚,三尖瓣也受牵连出现轻度反流,舒张功能减退。“如果不处理,心脏会越拖越累,最终走向心力衰竭,到那时别说走路,躺着都喘不上气。”
更棘手的是,李先生的主动脉瓣环直径达28.41mm,属于超大尺寸。“瓣环越大,对人工瓣膜的尺寸要求就越高,可供选择的型号非常有限。”迟路湘教授坦言。

“量身定制”微创方案
经过术前全面评估,迟路湘教授与心脏血管外科李炜副主任共同为李叔叔制定了经导管主动脉瓣置换术(TAVI)的微创方案。
“传统开胸手术需要锯开胸骨,创伤大、恢复慢。患者身体虚弱,难以耐受。”迟路湘教授解释,“TAVI通过大腿根部一个穿刺点就能完成瓣膜置换,对他来说是更合适的选择。”
针对李叔叔 28.41mm 的超大瓣环,团队选择了 32mm ScienCrown 生物瓣——“这是该款瓣膜目前最大的尺寸型号,再大就没有同系列合适材料了。”

为确保手术万无一失,迟路湘教授牵头启动了MDT多学科会诊,心脏血管外科副主任李炜、麻醉科主任钟河江教授、超声科副主任饶荣生等为手术提供外科保障、影像导航和麻醉护航。
迟路湘教授与李炜副主任共同带领团队通过股动脉穿刺,将瓣膜精准送达预定位置。随着瓣膜释放,造影显示:新瓣膜工作状态理想,跨瓣压差明显改善,未见明显反流,血流动力学较术前显著好转。整个手术不到两小时顺利完成。

一顿吃下4个包子
术后第三天,李叔叔即可下床走动。“早上我一口气吃了一个鸡蛋、四个包子。”他笑着说,“以前看见饭就反胃,现在吃饭香了,走路不喘了,胸口也不闷了。”

家人看着李叔叔的变化,眼眶有些发红:“之前他瘦得脱了相,我们天天发愁。没想到手术效果这么好,三天时间,人就像活过来了。”
更让一家人感慨的是:“没想到军医大专家就在家门口,这么大的手术,没出华岩镇就做完了,而且做得这么好”。(院方供稿)
责任编辑:王凤




发言请遵守新闻跟帖服务协议

