心脏发动机“修”比“换”更难!重庆市人民医院心脏中心专家保住患者“原装”心门
2026-04-06 06:30:30 来源: 第1眼TV-华龙网
如果把心脏比作人体的“发动机”,那么二尖瓣就是发动机里最精密的“阀门”,每一次开合都关乎生命的节律。
当这扇“门”因风湿或老化而出现故障,许多患者面临的,是一个艰难的抉择——是换掉它,还是修好它?

心脏瓣膜病是临床上最常见的心脏疾病之一。
它主要分为两类:
- 风湿性瓣膜病
- 老年退行性瓣膜病
其中二尖瓣是最常受累的瓣膜结构。对于退行性心脏瓣膜病,大多数情况可通过成形手术保留患者自身瓣膜;而风湿性心脏瓣膜病由于瓣膜增厚、挛缩,修复难度极大,多数情况下只能采取瓣膜置换的方式。
57岁的王女士,已被反复胸闷、气促折磨了4年多,严重时连日常家务都难以胜任。她确诊为风湿性心脏病,二尖瓣狭窄伴关闭不全、房颤、心衰,曾辗转四川、重庆多家大型医院就诊,均被告知需要行二尖瓣机械瓣置换术。想到机械瓣置换后需终身抗凝,面临出血与血栓的双重风险,王女士心有不甘,又来到重庆市人民医院。

恰逢北京安贞医院张海波教授受中组部委派,挂职担任重庆市人民医院副院长。张教授所在的团队是我国风湿性心脏病瓣膜修复技术的开拓者,技术水平处于国际前列。

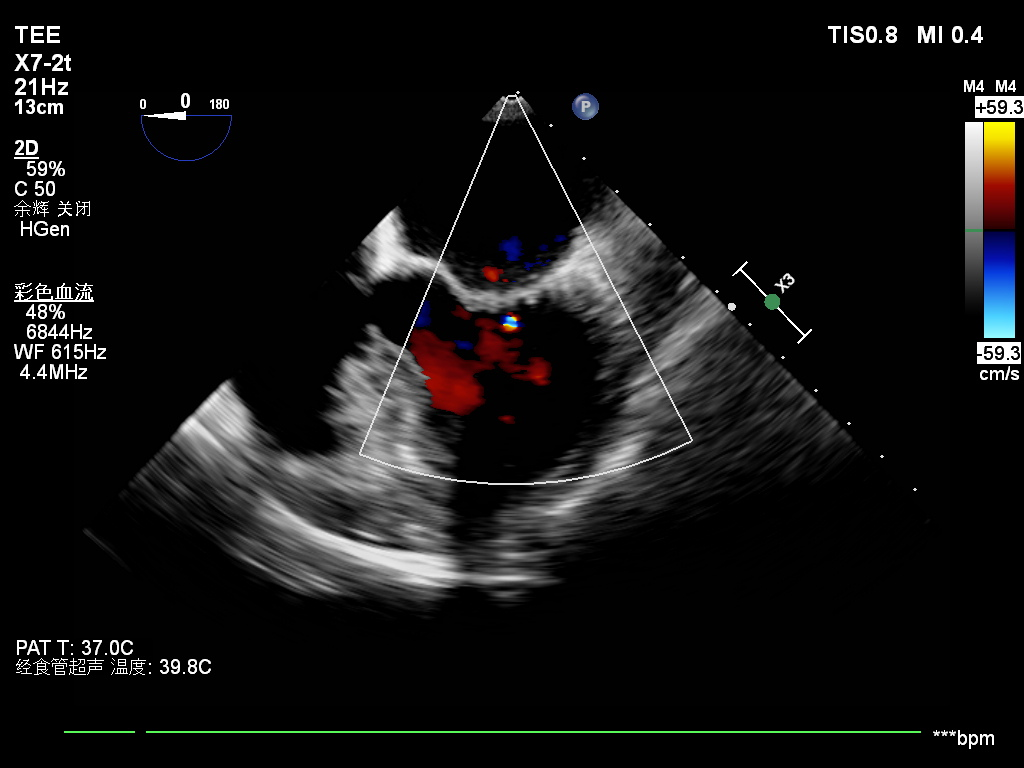
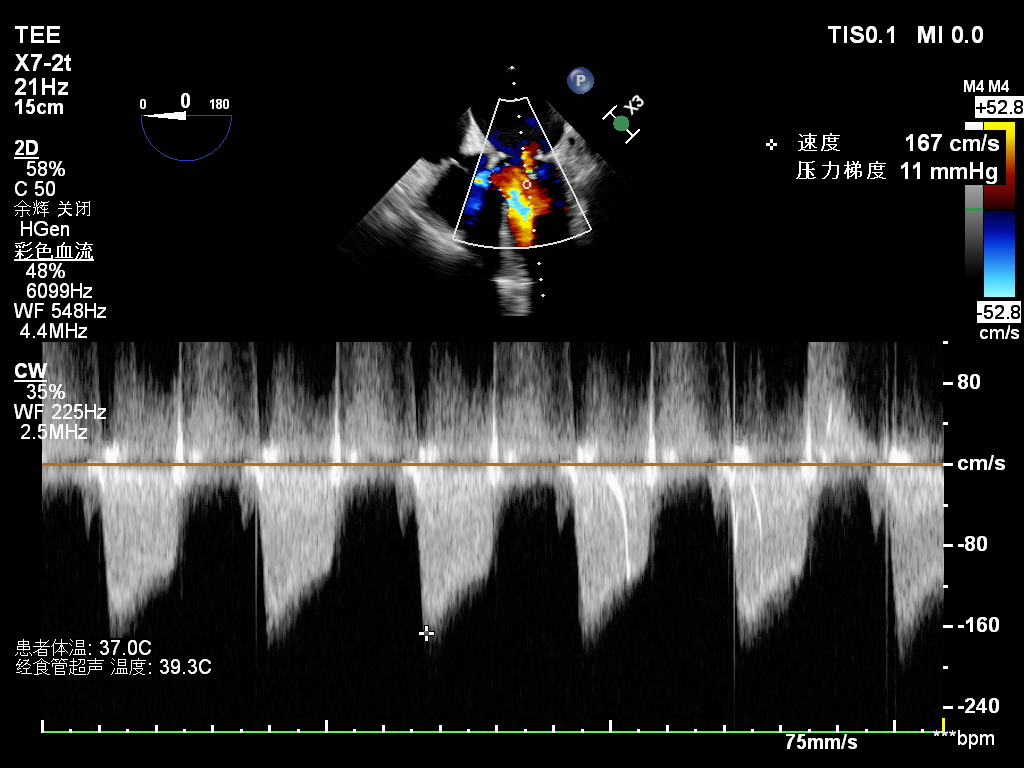
张海波教授接诊王女士后,对其心脏瓣膜情况进行了详细评估,认为修复可能性很大。手术由张海波教授亲自主刀,在体外循环下,精细清除瓣叶钙化组织,将增厚瓣叶逐层削薄,小心切开瓣交界粘连,同时将二尖瓣后叶予以补片加宽,置入成形环,整个过程如行云流水,一气呵成。试水见瓣膜关闭良好,术中同时为患者施行了房颤外科消融手术。术后心脏恢复良好,食道超声提示:二尖瓣成形效果理想,仅见微量反流,心律也恢复为正常窦性。
术后第一天,王女士即从重症监护室转回普通病房;术后第三天,王女士便能在病房过道自如活动。

心脏瓣膜成形术的优势在哪里?
相比换瓣,心脏瓣膜成形术的优势显而易见,很多患者都会问:“修瓣和换瓣,到底哪个更好?”
保留原生结构,心脏功能更好
成形术保留了原生结构,二尖瓣并非简单的“阀门”,它与瓣环、腱索、乳头肌等结构共同维系着心脏的正常泵血功能,最大限度保留这些天然结构,远期心脏功能恢复更理想。
不用终身抗凝,生活质量更高
患者无需终身抗凝,若置换机械瓣,患者需终身服用华法林并定期抽血监测凝血指标——药量不足易形成血栓,药量过多则有出血风险,日常生活中运动、饮食乃至其他药物使用均需格外谨慎,而成形术后则可免受这些困扰。
感染风险更低,远期生存率更高
成形术的感染风险更低,人工瓣膜作为异物,术后发生感染性心内膜炎的风险显著高于自身瓣膜,成形术保留了自身组织,感染风险大幅降低,远期生存率更有保障。
心脏瓣膜成形术难度有多大?
心脏瓣膜成形术虽优势显著,却也被公认为心脏外科领域“最考验医生技术”的手术之一。
对病变评估要求极高
术成功的前提是准确判断瓣膜能否修复、如何修复,术前需借助超声心动图、三维超声导航等精准评估瓣膜钙化程度、瓣叶活动度、腱索病变情况,如同为瓣膜做“全身CT扫描”,即便术中,医生也需根据实际情况随时调整策略,一旦修复效果不理想,须果断转为置换,对医生的判断力与应变能力提出极高要求。
操作精度要求“毫厘级”
整个修复过程在心脏停跳、体外循环支持下完成,每一步操作均需精确到毫米,尤其风湿性瓣膜病患者的瓣膜常同时存在增厚、粘连、钙化等多种病变,修复难度远高于退行性病变,需要医生积累数百例以上的手术经验,方能游刃有余。
多团队协作要求高
一台成功的成形术离不开外科医生、麻醉师、体外循环师、超声医师的紧密配合,术中需借助经食管超声实时监测修复效果,确认瓣膜反流是否消除、开闭是否正常,有时甚至需在心脏复跳后再次评估,若效果不佳还要再次停跳调整,这对整个团队的默契度与协同能力提出了极高要求。
个体化方案设计复杂
每位患者的瓣膜病变各不相同,有的需修复瓣叶,有的需重建腱索,有的需植入成形环,有的还需同期处理房颤、三尖瓣反流等问题,医生需结合患者年龄、病变特点、心功能状况量身定制手术方案,没有“标准答案”可循。
张海波教授指出:
并非所有心脏瓣膜疾病患者都适合行成形术,具体手术方案应由心脏外科团队依据瓣膜结构学改变、患者年龄、合并症及影像学评估综合制定。如有相关病情,请及时就诊,并与专业心脏外科团队深入沟通,选择最适合您的治疗方案。
>>科室简介
重庆市人民医院开展心血管手术已有65年历史,是国内最早开展心脏手术的单位之一。心血管外科在川渝地区率先开展复杂先心病手术矫治,在西南地区率先开展复杂先心病手术、不停跳冠脉搭桥手术、微创胸腔镜心脏手术、一站式心脏复合(杂交)手术、经导管心脏瓣膜治疗等高难度心血管手术。心血管外科现为国家重点临床专科建设项目、重庆市心脏大血管病(外科)专病诊疗中心、重庆市心血管外科学临床医学研究中心。2025年,医院获批成为国家心血管病临床研究中心(北京安贞医院)分中心,实现强强联合,持续为西部地区心血管病患者提供高水平诊疗服务。
>>专家简介

张海波 副院长
心脏中心 主任
主任医师 博士
博士研究生导师
门诊时间:
星期三上午(院本部)
首都医科大学附属北京安贞医院瓣膜及房颤中心副主任,现担任重庆市人民医院挂职副院长。
专业擅长:长期在瓣膜修复、微创手术、微创瓣膜介入手术方面深入研究,在国内率先完成心脏四大瓣膜微创介入手术;国内首先完成介入瓣膜术中虚拟影像融合辅助技术,国际创新完成生物瓣毁损微创介入瓣中瓣技术,研发多种微创介入瓣膜创新器械等。
社会兼职:中华医学会胸心血管外科学会全国青年委员兼副秘书长、中国医师协会心外分会全国委员兼结构心脏病学委会副主委和房颤学委会副主委、国际心肺移植学会ISHLT委员、亚洲心脏瓣膜学会中国分会常委兼秘书长、中国研究型医院学会心脏瓣膜病专委会常委兼秘书长、瓣膜病专委会青委会主任委员等。
科学研究:主持国际合作课题、国家重大研发计划。出版专著3部,论文120篇。Journal of Geriatric Cardiology编委、Cardiovascular Diagnosis and Therapy编委、中华胸心血管外科杂志审稿人、中国胸心血管外科临床杂志编委、中国体外循环杂志常务编委、中国医药杂志编委、中国心血管病研究杂志编委、中国临床综述杂志编委、心肺血管病杂志审稿人、中国全科医学杂志编委。

陈灏 心血管外科 主任
主任医师
博士后导师
硕士研究生导师
门诊时间:
星期一全天(院本部)
重庆市学术技术带头人、重庆市中青年医学高端人才。
专业擅长:从医30年,在心脏微创手术、房颤消融、瓣膜成形(修复)、杂交手术(包括经导管瓣膜置换)等领域有深入研究,创新多种胸腔镜心脏手术术式,并对主动脉夹层、动脉瘤、肥厚梗阻性心肌病等急危重症手术有丰富经验。
社会兼职:中国医师协会心血管外科分会委员、国家微创心血管外科专委会委员、中国研究型医院学会心脏瓣膜学专业委员会委员、重庆市医学会心胸外科专委会副主任委员等。
责任编辑:吴瑞雪




发言请遵守新闻跟帖服务协议

